
(Información remitida por la empresa firmante)
Kimera® Labs nombrado semifinalista en el concurso XPRIZE Healthspan, de 101 millones de dólares, por sus innovaciones pioneras en el envejecimiento saludable
Empresa líder en biotecnología de exosomas avanza en su esfuerzo global por prolongar la vida humana saludable
MIRAMAR, Fla., 13 de mayo de 2025 /PRNewswire/ — Kimera Labs, Inc., pionero en biotecnología terapéutica de exosomas, se enorgullece de anunciar su selección como semifinalista en el prestigioso concurso XPRIZE Healthspan, con un presupuesto de 101 millones de dólares. Este hito reconoce el trabajo pionero de Kimera en el desarrollo de terapias innovadoras basadas en exosomas, destinadas a prolongar significativamente la vida humana sana y activa.
El XPRIZE original, otorgado en 2004, creó un nuevo modelo para resolver grandes desafíos en una competición abierta y basada en incentivos. Al ofrecer 10 millones de dólares para vuelos espaciales privados, impulsó la industria espacial comercial y demostró que objetivos ambiciosos, reglas claras y participación global pueden impulsar la innovación revolucionaria en cualquier campo.
XPRIZE Healthspan, lanzado por XPRIZE en 2023, es una iniciativa global diseñada para impulsar los avances científicos y tecnológicos que mejoran la longevidad humana, el período de vida que se disfruta de buena salud. El avance de Kimera Labs a la fase semifinal lo coloca entre los 40 mejores equipos seleccionados entre más de 660 solicitantes registrados en 58 países: un grupo selecto de innovadores que trabajan para transformar el futuro del envejecimiento y la atención médica.
Fundada en 2012, Kimera Labs es reconocida internacionalmente por sus innovadores productos de exosomas de grado clínico y su liderazgo en ciencia regenerativa. Utilizando una línea celular MSC perinatal de donante único pre-COVID aprobada por la FDA, Kimera produce productos biológicos de exosomas purificados y libres de células en sus instalaciones de 27.000 pies cuadrados en Miami, inspeccionadas por la FDA y con certificación GMP, estableciendo un nuevo estándar de pureza, seguridad y potencia. Su producto estrella, XoGlo®, está aprobado para ensayos clínicos de fase I/IIa dirigidos al síndrome de dificultad respiratoria aguda (SDRA) post-COVID, lo que subraya el compromiso de Kimera de avanzar en terapias validadas para la regeneración de tejidos, la modulación inmunitaria y el envejecimiento saludable.
«Nos honra ser reconocidos como semifinalistas en XPRIZE Healthspan», afirmó Duncan Ross, PhD, fundador y consejero delegado de Kimera Labs. «Este logro refleja la dedicación de nuestro equipo durante una década a la excelencia científica, la innovación y nuestra misión de aprovechar el potencial de los exosomas para mejorar la salud y la longevidad humanas. El potencial de vivir más de 100 años, o incluso 300, existe hoy en día, y las colaboraciones que surgirán de este concurso XPRIZE nos permitirán alcanzarlo».
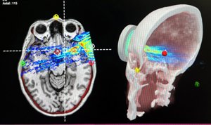
Como parte del concurso, Kimera Labs se ha asociado con el Dr. Sheldon Jordan y el Proyecto Regenesis para combinar su tecnología de exosomas perinatales hiperaislados con ultrasonidos focalizados de baja intensidad dirigidos al cerebro. Esta novedosa plataforma ha mostrado prometedores resultados preclínicos, publicados por el grupo en Nature Scientific Reports en octubre de 2023, que abren el potencial para mitigar enfermedades relacionadas con la edad, promover la regeneración tisular y mejorar la vitalidad general.
«XPRIZE Healthspan es una oportunidad crucial para impulsar la salud global», afirmó el Dr. Jordan. «Nos entusiasma unir fuerzas con Kimera Labs para acelerar el desarrollo de avances transformadores en el envejecimiento saludable».
XPRIZE Healthspan culminará en 2030 con la entrega del gran premio al equipo que demuestre la solución más prometedora y escalable para prolongar la esperanza de vida y mejorar la calidad de vida en todo el mundo.
Acerca de Kimera Labs, Inc.:
Fundada por el Dr. Duncan Ross en 2012, Kimera Labs es una empresa líder en biotecnología de exosomas en fase clínica, especializada en el desarrollo de terapias con exosomas. Con una línea celular MSC perinatal pre-COVID de un solo donante aprobada por la FDA y más de una década de liderazgo científico, Kimera opera en unas instalaciones de 27.000 pies cuadrados, inspeccionadas por la FDA y con certificación GMP en Miramar, Florida. Kimera está revolucionando la ciencia de los exosomas con un firme compromiso con la innovación, la precisión y la mejora de la salud humana a lo largo de la vida.
Acerca del Proyecto Regenesis:
El Proyecto Regenesis del neurólogo Sheldon Jordan MD participa activamente en numerosos estudios de investigación clínica que proporcionan a los pacientes acceso a modalidades terapéuticas de vanguardia, como ultrasonido focalizado, TMS y fototerapia. Nuestros ensayos clínicos en curso abarcan afecciones como la demencia, la enfermedad de Parkinson, el traumatismo craneoencefálico, la ansiedad, la depresión y el TOC, así como el dolor crónico y el coma.
Acerca de XPRIZE:
XPRIZE es el líder mundial reconocido en el diseño y la ejecución de competencias a gran escala para resolver los mayores desafíos de la humanidad. Durante más de 30 años, nuestro modelo único ha democratizado la innovación colaborativa y las soluciones científicamente escalables que impulsan un futuro más equitativo y abundante. Done, obtenga más información y co-diseñe un mundo de abundancia con nosotros en xprize.org.
Acerca de los exosomas:
Los exosomas son secreciones de 80-130 nm de todo tipo de células que transportan carga de señalización, como proteínas y ARN. Kimera Labs desarrolla productos exosomales a partir de diversas fuentes celulares, incluyendo células madre mesenquimales, para uso terapéutico. Obtenga más información sobre los exosomas en exosomes.com.
Experimente la Diferencia Kimera, el exosoma original desde 2014. Más información en www.kimeralabs.com
Foto — https://mma.prnewswire.com/media/2684460/Kimera_Labs_Sanmai_Target.jpg
Foto — https://mma.prnewswire.com/media/2684461/Kimera_Labs_Targeted_to_Brain.jpg
Foto — https://mma.prnewswire.com/media/1014980/Kimera_Labs_World_Premiere_exosome.jpg
Logo — https://mma.prnewswire.com/media/1014981/Kimera_Exosomes_Logo_Blue_2x_Logo.jpg
View original content:https://www.prnewswire.com/es/comunicados-de-prensa/kimera-labs-nombrado-semifinalista-en-el-concurso-xprize-healthspan-302454248.html